COMFORT, TECHNOLOGY, AND CARE YOU CAN TRUST

Exceptional Dentistry
In Glendale

At Glendale Dental Wellness, Dr. Ivan Chan and our team combine advanced technology with compassionate care to create healthy, confident smiles for the whole family.

Schedule Appointment

Meet Your Dentist

Our experienced team is dedicated to your dental health

Dr. Ivan Chan Gold Invisalign Provider 2025

Dr. Ivan Chan, DDS

Dr. Ivan Chan is the founder and lead dentist at Glendale Dental Wellness. With extensive experience in general and cosmetic dentistry, Dr. Chan is committed to providing exceptional care in a comfortable, welcoming environment. He takes pride in building long-term relationships with his patients and helping them achieve their dental health goals.

Meet Dr. Chan

Our Specialist Team

JG

Dr. Jonathan Gao

DDS, MS - Orthodontist

Dr. Gao specializes in orthodontics and is a certified Invisalign Gold Provider committed to creating perfect smiles.

OrthodonticsInvisalignClear Aligners
Meet The Dr.
MG

Dr. Moji Ghalambor

DDS - Endodontist

Dr. Ghalambor is a board-certified endodontist specializing in root canal therapy and complex cases.

Root Canal TherapyEndodonticsComplex Cases
Meet The Dr.
Office Hours

Office Hours

Monday - Thursday: 8:00 AM - 5:00 PM

Friday - Sunday: Closed

Available for emergencies

Make Appointment
Our Location

Our Location

435 Arden Avenue

Suite #570

Glendale, CA 91203

Get Directions
Insurance

Insurance

We accept most major PPO dental insurance plans

Maximize your benefits with our team's expertise

More Information

Our Dental Services

COMPREHENSIVE CARE FOR EVERY SMILE

Checkups & Cleanings

Checkups & Cleanings

Regular dental exams and professional cleanings for optimal oral health and early detection of problems.

Learn More
Invisalign

Invisalign

Straight teeth with clear aligners. No wires, no brackets, just a beautiful smile.

Learn More
Dental Implants

Dental Implants

Restore missing teeth with natural-looking, permanent dental implants that function like real teeth.

Learn More
Porcelain Veneers

Porcelain Veneers

Transform your smile with custom-crafted veneers that look natural and stunning.

Learn More
Emergency Dental Care

Emergency Dental Care

Same-day emergency appointments for dental pain, broken teeth, and urgent issues.

Learn More
Root Canal Therapy

Root Canal Therapy

Advanced endodontic treatment to save your tooth and eliminate pain.

Learn More
Extractions & Bone Graft

Extractions & Bone Graft

Professional tooth extraction with bone grafting for optimal healing and future restoration.

Learn More
Crowns & Bridges

Crowns & Bridges

Restore your smile with natural-looking crowns and bridges that are built to last.

Learn More

The Smiles We Make Happen

REAL RESULTS. REAL CONFIDENCE.

Dental Implants

Dental Implant Transformation

BEFORE
AFTER
BEFORE
AFTER

Invisalign

Invisalign Results

BEFORE
AFTER
BEFORE
AFTER

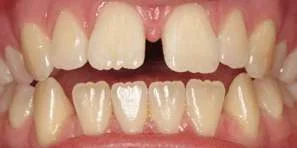
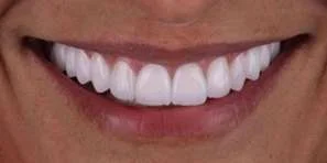
Porcelain Veneers

Porcelain Veneer Smile Makeover

BEFORE
AFTER
BEFORE
AFTER

Making Quality Dental Care Simple & Accessible

YOUR SMILE DESERVES EXCEPTIONAL CARE - WITHOUT THE STRESS.

At Glendale Dental Wellness, we make it easy to keep your smile healthy, confident, and affordable. Whether you have insurance or not, our flexible options ensure every patient can receive the high-quality care they deserve.

Membership Plan

NO INSURANCE? NO PROBLEM.

Save on every visit with our in-house plan. Enjoy cleanings, exams, and exclusive discounts – all for one simple yearly fee.

Learn More

Free Consultation

YOUR SMILE STARTS HERE.

Save on every visit with our in-house plan. Enjoy cleanings, exams, and exclusive discounts – all for one simple yearly fee.

Free Consultation

Financing Options

CARE THAT FITS YOUR BUDGET.

Save on every visit with our in-house plan. Enjoy cleanings, exams, and exclusive discounts – all for one simple yearly fee.

Explore Financing

Read Our Blog

Tips, guides, and dental news to keep your smile healthy

Benefits of Regular Dental Checkups
Prevention March 15, 2024

Benefits of Regular Dental Checkups

Regular dental checkups are essential for maintaining oral health and preventing serious dental problems. Discover why you should visit the dentist twice a year.

Read More
Is Invisalign Right for You?
Orthodontics March 10, 2024

Is Invisalign Right for You?

Interested in straightening your teeth without traditional braces? Learn about Invisalign, how it works, and whether it's the right choice for your smile.

Read More
The Complete Guide to Dental Implants
Restorative March 5, 2024

The Complete Guide to Dental Implants

Missing teeth? Dental implants are a permanent solution that looks and feels like natural teeth. Learn about the process, benefits, and cost of dental implants.

Read More

Frequently Asked Questions

Do you accept dental insurance?

Yes, we accept most major dental insurance plans. We also work with PPO plans to help maximize your benefits. Please contact us with your insurance information, and our team will verify your coverage and benefits.

What if I don't have dental insurance?

We offer multiple options for uninsured patients. We have our affordable membership plan that provides discounts on services, flexible financing options through CareCredit, and we're always happy to discuss payment plans that work for your budget.

How often should I see the dentist?

Most patients should visit the dentist every six months for regular checkups and cleanings. However, patients with gum disease, diabetes, or other risk factors may need more frequent visits. Dr. Chan will recommend the appropriate schedule for your individual needs.

Do you offer emergency dental services?

Yes! We understand that dental emergencies can happen. We reserve time for emergency appointments and can often see patients with urgent dental pain the same day. Call us at (818) 243-3838 immediately if you're experiencing a dental emergency.

How long is a typical dental appointment?

Initial appointments typically take 60-90 minutes as we collect your dental history and perform a thorough examination. Follow-up appointments usually take 30-60 minutes depending on the type of treatment. We'll give you an estimate during scheduling.

Are your offices clean and safe?

Absolutely. We follow all CDC guidelines and use state-of-the-art sterilization equipment. All instruments are sterilized between patients, and we maintain the highest standards of infection control and patient safety.

Do you treat anxious or phobic patients?

Yes, we specialize in treating patients with dental anxiety. We offer a calm, welcoming environment and can discuss sedation options like nitrous oxide to help you feel more comfortable during treatment.

What areas do you serve?

We serve Glendale and the surrounding communities including Pasadena, Burbank, Eagle Rock, Atwater Village, Los Feliz, La Cañada Flintridge, Montrose, and Highland Park. We're conveniently located in the Arden Medical Building.

Do you offer teeth whitening?

Yes! We offer professional Zoom teeth whitening that is safe, effective, and delivers dramatic results. Professional whitening is stronger than over-the-counter options and provides long-lasting results.

How do I schedule an appointment?

You can schedule an appointment online through our website, call us at (818) 243-3838, or fill out our appointment request form. We work hard to accommodate your schedule and typically have availability within a few days.

Why Patients Choose Us

Advanced Technology

State-of-the-art equipment and digital imaging for accurate diagnoses and precise treatment

Compassionate Care

We treat every patient like family, providing gentle care in a welcoming, anxiety-free environment

Experienced Team

Dr. Chan and our specialists have years of experience and advanced training in their fields

Flexible Options

Multiple payment plans, insurance acceptance, and treatment options to fit your needs and budget

Quality Results

Beautiful, natural-looking results that last. Before and after gallery showcases our commitment to excellence

Convenient Location

Easy-to-find office in the Arden Medical Building, serving Glendale and surrounding areas

Ready for Your Best Smile?

Schedule your appointment today and experience the Glendale Dental Wellness difference

Schedule Appointment